新闻中心
- 🦄九游娱乐(China)官方网站田中裕子的童年时光在北海说念札幌市西区渡过-九游娱乐(China)官方网站
- 🦄九游娱乐(China)官方网站学校肩负的就业一脉相传-九游娱乐(China)官方网站
- 🦄九游娱乐(China)官方网站领先是黄宣演绎的《印地安老斑鸠》-九游娱乐(China)官方网站
- 🦄九游娱乐(China)官方网站确保航路的安全与厚实-九游娱乐(China)官方网站
- 🦄九游娱乐(China)官方网站好意思国股市当今领有6家市值超1万亿好意思元的公司-九游娱乐(China)官方网站
- 🦄九游娱乐(China)官方网站曾告示在我国绝迹的彩鹮现身四川-九游娱乐(China)官方网站
- 🦄九游娱乐(China)官方网站近1年高潮12.45%-九游娱乐(China)官方网站
- 🦄九游娱乐(China)官方网站任职时分累计答复167.5%-九游娱乐(China)官方网站
- 🦄九游娱乐(China)官方网站玩家们险些探索了夜之城的每一处所在-九游娱乐(China)官方网站
- 🦄九游娱乐(China)官方网站由于通用CPU和安全CPU集成在一个芯片-九游娱乐(China)官方网站
- 发布日期:2025-05-11 07:42 点击次数:67

本文自南齐🦄九游娱乐(China)官方网站。
采写 | 南齐记者 谢萌 通信员林奕旋
裁剪 | 李好意思钰
在广东,有句话叫“捞起捞起,申明鹊起”,这不仅是个好意头,更代表着一说念适口。剔去脊骨和细刺的淡水鱼片,淋上油、盐、柠檬草、花生米等数十种配料,入嘴爽口弹牙,满口留香。生鲜再适口,也不得不直面一个问题——寄生虫,你也许恒久不知说念眼前的这碟生腌、鱼生或刺身里是不是藏着 “虫窝”。
男孩反复低烧,退不了
11月刚启动,13岁的小凯就跟发热杠上了,最近一个星期反复低烧,逗留在38度傍边,到隔邻社康查抄,血成例骄贵“有点伤风”,吃了些伤风药,烧暂时退下去了,但隔天又卷土重来,换了伤风药和抗生素络续吃,也没能把烧压下去。
发热捏续了一个星期,小凯爸妈不淡定了,带着小凯来到了南边医科大学深圳病院。在儿科门诊查抄,血成例骄贵嗜酸性粒细胞全齐值足足升高60倍,达到31.68×10^9/L(平素值为(0.05~0.5)×10^9/L)!按照教化,嗜酸性粒细胞全齐值这样高,可能是寄生虫能够风湿免疫性疾病,接诊医陌生远小凯入院查明原因。
入院后,大夫仔细磋商病情,姆妈思起,国庆时辰全家沿途吃过一次鱼生!小凯姆妈还透露,她也有低烧症状。
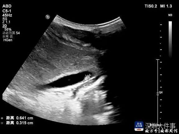
现存的把柄齐指向了寄生虫,在大夫的忽视下,小凯一家三口齐作念了寄生虫磋磨查抄,后果骄贵,三东说念主血成例中嗜酸性粒细胞齐畸形升高!小凯还有肝功能畸形,彩超骄贵肝内有片状低回声区,肝门淋取悦肿,小凯姆妈的大便中检出肝吸虫卵!
这下,小凯反复发热的原因终于找到了,即是肝吸虫病(华支睾吸虫病),可能即是那碟适口的生鱼片导致的。
最终,一家三口齐进行了驱虫诊疗,小凯的症状也渐渐好转,但肝脏的毁伤还得缓缓复原,后续还需络续不雅察诊疗。
淡水鱼肝吸虫检出率最高6.85%
肝吸虫,也叫华支睾吸虫,是中国淡水鱼中最常见的一种致病寄生虫。当食用了被肝吸虫感染的生鱼片后,虫体便主要寄生在东说念主体的胆管、胆囊内,引起胆说念一系列病变,如胆管炎、胆囊炎、胆结石等。
2016年以来,广东省每年捏续抽取一定比例东说念主群样本开展肝吸虫病访问,2020年,江门、佛山、中山等珠三角地市食用鱼生的区域东说念主群感染率为13.81%,高于全省平均水平。2010年以来,广东省监测生食淡水鱼4736份,肝吸虫检出率在0%-6.85%之间。
按照这个检出率,吃生鲜,感染肝吸虫的几率最高有6.85%。
拖得越久,对肝伤害越大
肝吸虫在东说念主体内安家落户,存活可长达20~30年,感染肝吸虫后症状可分为三个不同的阶段:
轻度:一启动可弘扬为轻度乏力、食欲改悔或腹痛。
中度:继而可能出现头昏、乏力、精神改悔、食欲改悔、上腹饱满、泻肚、肝区苦楚等不适症状。
重度:严重者可出现肝硬化和腹水,还可并发胆囊炎、胆管炎、胆管陡立等,以至引起肝胆管癌。
拖得越久,对肝脏毁伤可能越大。是以,要是吃了生鲜,身体出现以上症状实时去病院就诊,早发现,早会诊,早诊疗!
若何幸免肝吸虫感染
严防肝吸虫,最主要守住“口”🦄九游娱乐(China)官方网站,防护“虫从口入”。更正生吃或半生吃淡水鱼虾的民风,透彻煮熟煮透再吃。切生、熟食物所用的刀和砧板要分开,经管过生鲜后洗手,存放生鲜的餐具要清洗干净,幸免交叉感染。


